INNATE DENTAL SOLUTIONS PLANO, TX
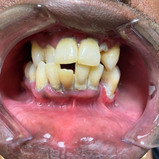
Our Dental Implant Before & After Photos
Our Click to Call Us

OUR REVIEWS
Meet Our Expert Implantology Team
Get to know the dedicated professionals at Innate Dental Solutions, where unparalleled expertise in dental implant procedures ensures you're in the best hands for your smile restoration journey.
There are Plenty of Dentists in the Plano & Dallas Area,
So Why Choose Innate Dental Solutions?

We Work With All Major Insurance Providers

We Are Dental Implant Specialists

Cutting-Edge Implant Technology




















